Кариесология
Какво е кариес?
Зъбният кариес е инфекциозно заболяване, което води до разрушаване на твърдите зъбни тъкани.
Причините за зъбния кариес са свързани пряко с хранителните ни навици, оралната ни хигиена, качество и количество на слюнката и характеристиките на емайла. Той засяга първо зъбния емайл, след това дентина и постепенно разрушава зъбите. Ако не се лекува навреме, кариесът прогресира в пулпит; периодонтит и дори в абсцес. Закъснялото лечение на кариеса е по-трудно и по-скъпо.
Лечението на зъбния кариес се състои в изчистване на нездравата тъкан, като се използва минимално инвазивна техника – тоест, щадят се здравият емайл и дентин. По преценка на денталния лекар или по желание на пациента може да се използва локална анестезия (упойка). След това се изработва обтурация (пломба) от високоестетичен материал. В практиката на Д-р Бодичева се използва фотополимер или се изработва керамична или композитна вставка (инлей, онлей, овърлей).

Ендодонтия
Пулпит
Какво представлява пулпата?
Разпространено е пулпата да се нарича „нервът“ на зъба. Пуплата се намира в сърцевината на зъба. Тя представлява мека тъкан, която се състои от мрежа от кръвоносни съдове, нервни влакна и лимфни съдове. Тя изпълнява хранителна, сетивна и защитна функция.
Пулпитът е възпаление на зъбната пулпа. Най-честата причина е нелекуван кариес.
Острият пулпит се характеризира със силна или умерена болка, която се появява спонтанно, често нощно време. Пациентите често я описват като теглеща или пулсираща дифузна болка, провокираща се от топло и/или студено. На даден етап болката не се повлиява от обезболяващи средства. Необходимо е спешно лечение от дентален лекар – ендодонтско (кореново) лечение.
Хроничният пулпит протича без особени симптоми. Най-често се открива при почистване на дълбок кариес, който се е развивал дълго време и е достигнал до пулпата. Болките са слаби или отсъстват.
Периодонтит
Периодонтитът е възпаление на тъканите около корена на зъба (периодонциума). Той се развива най-често от нелекуван пулпит.
Острият периодонтит се характеризира с непоносима болка, локализирана в конкретен зъб. Тя се засилва при натиск, палпация и перкусия(при почукване). Зъбът се усеща по-висок от другите. Болката почти не се влияе от термични дразнители. Необходимо е спешно кореново лечение при стоматолог. Когато се развие гноен периодонтит, болките се засилват и стават пулсиращи. Храненето е затруднено. От топло болката се засилва, а от студено леко се облекчава. Понякога телесната температура на пациента се повишава, а лимфните възли под челюстта са увеличени и болезнени.
Острият гноен периодонтит преминава през 4 фази:
I фаза (периодонтална): Възпалението е около върха на корена на зъба.
II фаза (вътрекостна): Възпалението е в костта, около корена на зъба.
III фаза (субпериостална): Гнойта преминава през костта и достига до надкостницата. Болката е най-силна.
IV фаза (подлигавична): Гнойта преминава през надкостницата и се разполага под лигавицата. Развива се абсцес.

Образува се оток, в последствие абсцесът пробива лигавицата и гнойта изтича навън. Пациентът получава облекчение, но състоянието му остава тежко.
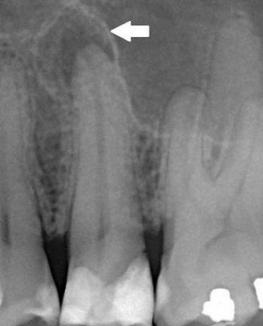
При хроничен периодонтит пациентът усеща тъпа болка при дъвчене или може да няма оплаквания. Често проблемът се открива случайно на рентгенова снимка. В даден момент е възможно хроничният процес да се обостри.

